Actualites

radiographie
20/12/2017
Radiographie du 19 décembre Iggings du beaumanoir et Hever du domaine de luard
6 bébés attendus

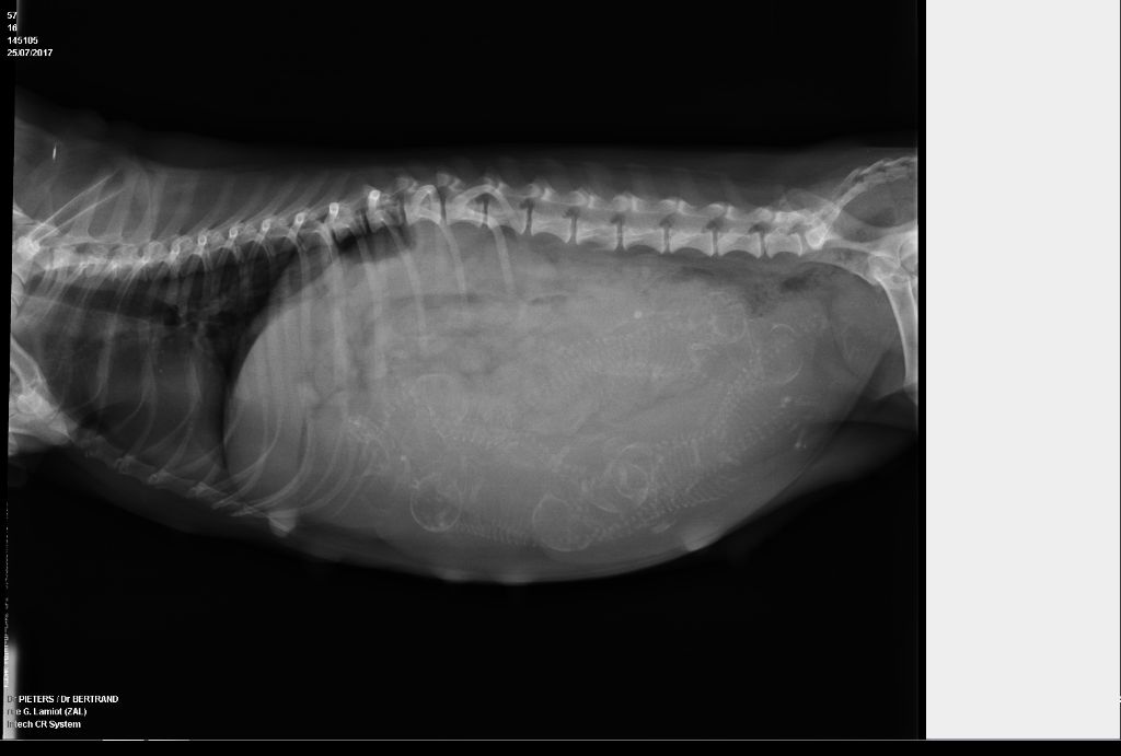
radiographie de Heden et Igging
02/08/2017

radiographie de Judith et Ovide
02/08/2017